ASPECTS (Alberta stroke program early CT score) — шкала для стандартизации выявления и описания распространения гиподенсивных участков ишемического повреждения головного мозга в бассейне средней мозговой артерии (СМА) на компьютерных томограммах.

Источник изображения: radiopaedia.org
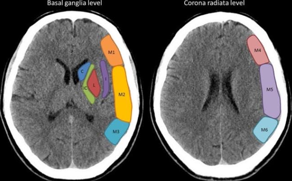
Территория кровоснабжения СМА на двух аксиальных срезах (один на уровне таламуса и базальных ядер, другой – сразу над базальными ядрами) делится на 10 участков:
С – хвостатое ядро;
L – чечевицеобразное ядро;
IC – внутренняя капсула;
I – островковая долька;
М1 – передняя кора СМА или оперкулярная зона;
М2 – средняя кора СМА или передне-височная зона;
М3 – задняя кора СМА;
М4 – передняя верхняя территория СМА;
М5 – средняя верхняя территория СМА;
М6 – задняя верхняя территория СМА.
Участки М1-М3 находятся на уровне базальных ганглиев, участки М4-М6 – на уровне желудочков непосредственно над базальными ганглиями...
Данный материал содержит информацию для специалистов в области здравоохранения.
Продолжайте читать свою статью с учетной записью КЛУБА
Присоединяйтесь к КЛУБУ уже сегодня.
Бесплатное членство!