alt Войти
Все статьи

Острая прозопагнозия

06.10.2025

Пациент 56 лет, ранее здоровый, остро внезапно перестал узнавать лица знакомых людей, в том числе жена и матери. Он так же не смогу узнать себя в зеркале.

Других нарушений в неврологическом статусе не выявлено: у пациента нет парезов, чувствительных нарушений, патологии со сторона черепных нервов.

Проведен тест узнавать лиц с использованием Warrington Recognition Memory Test, подтверждена полная прозопагнозия.

При суточном мониторировании ЭКГ по Холтеру зафиксированы пароксизмы фибрилляции предсердий.

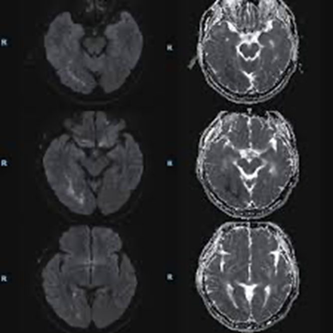
При МРТ головного мозга выявлены изменения, соответствующие острому ишемическому инсульту.

 

Острые ишемические изменения в коре правой височной и затылочной долей


Источник: Koh YH. Right Fusiform Gyrus Infarct with Acute Prosopagnosia. Acta Neurol Taiwan. 2022 Dec 30;31(4):186-187.

 

Предположите локализацию инсульта


Данный материал содержит информацию для специалистов в области здравоохранения.

Чтобы продолжить читать материал, Вам необходимо
Войти или Зарегистрироваться

Продолжайте читать свою статью с учетной записью КЛУБА

Присоединяйтесь к КЛУБУ уже сегодня.

Бесплатное членство!

Наши партнеры

Это интересно



Прямой эфир