alt Войти
Все статьи

Шкала Fazekas

08.04.2026

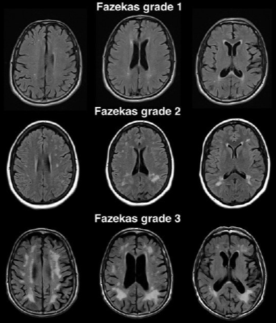
Шкалу Fazekas используют для простой оценки тяжести поражения белого вещества головного мозга по количеству и размеру гипертенсивных очагов лейкоареоза в белом веществе на Т2-взвешенных изображениях. Обычно такие очаги связывают с болезнью мелких сосудов головного мозга, хотя очевидно, что не все такие очаги обусловлены именно этим.

Источник изображения: Radiopaedia

Шкала включает три степени:

Fazekas 1 — минимальные изменения, мелкие точечные гиперинтенсивные очаги в белом веществе, которые могут быть связаны с начальной стадией микроангиопатии или возрастными изменениями.

Fazekas 2 — умеренные изменения, отдельные гиперинтенсивные очаги и их слияния. Эти изменения могут указывать на наличие более выраженных сосудистых заболеваний мозга.

Fazekas 3 — значительные изменения с крупными сливными зонами, что обычно свидетельствует о наличии серьёзных сосудистых заболеваний и высоком риске развития деменции.

Источник: Gaillard...

Данный материал содержит информацию для специалистов в области здравоохранения.

Чтобы продолжить читать материал, Вам необходимо
Войти или Зарегистрироваться

Продолжайте читать свою статью с учетной записью КЛУБА

Присоединяйтесь к КЛУБУ уже сегодня.

Бесплатное членство!

Наши партнеры

Это интересно



Прямой эфир