Ноябрь 2024
Декабрь 2024
Февраль 2025
Март 2025
Апрель 2025
Май 2025
Июнь 2025
Июль 2025
Август 2025
Сентябрь 2025
Октябрь 2025
Ноябрь 2025
Декабрь 2025
Январь 2026
Март 2026
Революция в медицине: молекула PZL-A открывает путь к лечению митохондриальных заболеваний!
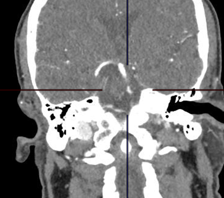
Крошечные нанороботы перспективны для лечения аневризм головного мозга
Части мозга, которые больше всего выросли в ходе эволюции, наиболее восприимчивы к старению
Тяжелый металл кадмий может быть связан с проблемами памяти
Шокирующее открытие: противораковые препараты могут повернуть вспять Альцгеймер и вернуть память — революция в борьбе с деменцией!
Новый метод визуализации позволяет проводить детальный анализ РНК всего мозга
Транскраниальная стимуляция — альтернативный метод для уменьшения симптомов депрессии
Ученые обнаружили метаобучение двигательным навыкам в дорсальной премоторной коре головного мозга
Разоблачение шизофрении: новая нейро‑модель объясняет полный путь болезни от предвестников до снижения когнитивных функций
Всемирный день борьбы с мигренью: возможна ли жизнь без головной боли?
Плохое качество сна связано с эпилепсией
У женщин с удаленными яичниками есть факторы риска развития болезни Альцгеймера
Три удара по метаболизму: новая модель, объясняющая причины аутизма
Генерализованное тревожное расстройство: вопросы диагностики и терапии
Нейрохирурги распутывают отдельные нервные цепочки человеческой памяти
Комбинированная терапия синдрома инфантильных эпилептических спазмов, обсуждение протоколов терапии